
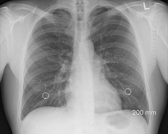
Pneumonia
Pneumonia este o infecție respiratorie acută a țesutului plămânilor (alveoli), determinând acumulare de lichid și puroi la acest nivel. Pentru că sacii alveolari afectați sunt responsabili de schimbul de oxygen, inflamarea acestora poate împiedica umplerea lor corespunzătoare cu oxygen, ceea ce poate conduce la oxigenare










